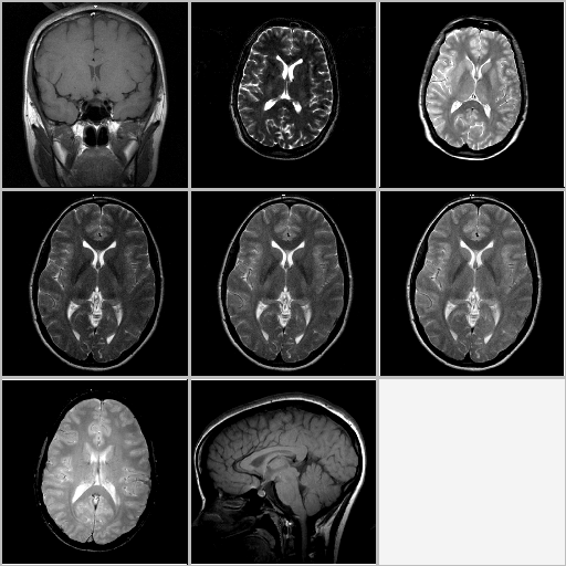
[Click to enlarge (1.9MB)]
These images were acquired using a state-of-the-art 3T medical imager at the St.Joseph hospital, London, Ontario, in 2000. Courtesy of Dr. Paul Picot.

This page is: http://www.physics.brocku.ca/~edik/MRI/MRI-2000.html
Last reviewed by: edward dot sternin at brocku dot ca on 05-Sep-17 at 21:27