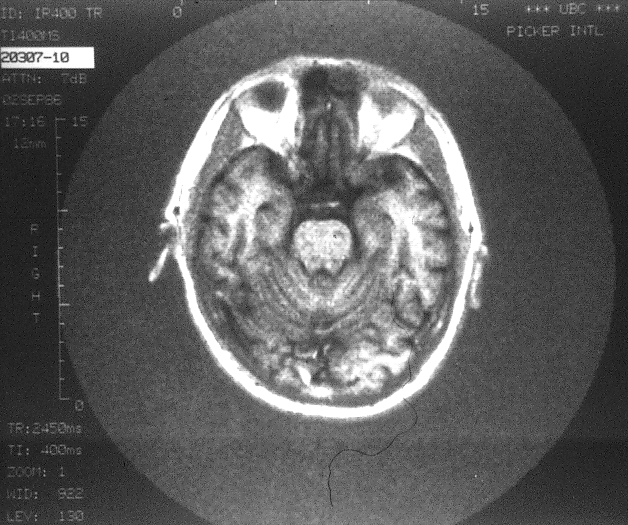
... and another one. Notice the anatomical detail in these images of the soft tissues of the brain. Even on these images, acquired in 1986, complex folds and other topological features are obvious; the state-of-the-art in NMR Imaging has advanced a great deal since then!

This page is: http://www.physics.brocku.ca/~edik/MRI/MRI-5.html
Last reviewed by: edward dot sternin at brocku dot ca on 05-Sep-17 at 21:28